Become a Sponsor

 
Home
Information Pages:
Marine Aquarium
Articles/ FAQs/Index
Freshwater Aquarium
Articles/ FAQs/Index
Planted Aquarium
Articles/ FAQs/Index
Brackish Systems
Articles/ FAQs/Index
Features:
Daily FAQs
FW Daily FAQs
SW Pix of the Day
FW Pix of the Day
Conscientious Aquarist Magazine
New On WWM
Helpful Links
Hobbyist Forum WetWebMedia Forum
Ask the WWM Crew a Question
Calendars
Search Feature
Admin Index
Cover Images

Understanding Bacterial Disease in Aquarium Fish
With a gallery of bacterial infections, a discussion of “Fish TB”, and a listing of major antimicrobial medications with examples available to fishkeepers

By Myron Roth, Ph.D.

( Click images to view full size )

Where to start?

Recognising that your fish is sick is easy for most aquarists. Knowing what is causing it to be sick can be elude even the most advance aquarist. This is particularly true for bacterial diseases since sick fish often display the same signs for many different diseases, even if caused by different pathogens.
Bacterial disease in fish, just as with other animals, can be successfully treated with antimicrobials. However, in some instances the outcomes are not positive and despite your best efforts your fish dies. Why is that? The goal of this article is to answer that question by giving some basic information on bacterial disease in fish and the use of antimicrobials.

Bacterial infections

Like all living things, fish are host to a wide assortment of microbes. Fish are not sterile and nor is the water they live in. A tablespoon of aquarium water contains many millions of bacteria.
Fortunately, most bacteria are part of the natural flora of aquarium systems and fish and do not cause disease. Examples include nitrifying bacteria that populate aquarium filters or the bacterial that live in fish's digestive tract. Some, however, can infect fish under the right conditions, typically when the fish is unwell or subject to some type of environmental stress. These are known as opportunistic pathogens.

There is also a much smaller group of bacteria that routinely infect fish and are able to cause disease in otherwise healthy fish enjoying good living conditions. These bacteria are known as primary or true pathogens.

Diagnosing bacterial infections

So how do we know when we are dealing with a bacterial infection? During an infection, the fish's immune systems mounts an inflammatory response, some aspects of which are visible to the naked eye and provide clues that a fish is sick.

Unfortunately, the symptoms that indicate bacterial infections can also be caused by other, non-bacterial diseases. Without positive identification from laboratory analysis of blood or tissue samples, you can never be certain of a diagnosis purely based on naked eye observations, and ultimately most diagnoses of bacterial infections are based on a “best guess” approach.
Nonetheless, many signs that are readily observed can be highly suggestive that a bacterial infection is involved, and experienced aquarists will use these, in conjunction with things like water quality tests and behavioural observations, when determining why a particular fish is sick.
Among the more common signs of bacterial infections are listlessness, weakened swimming ability, darkened body coloration and clamped fins, and possible weight loss.

If internal organs such as the swim bladder, kidney, and liver, or in some instances the brain, are affected, swimming may be abnormal or the fish may appear to have poor equilibrium, swimming sideways or erratically.

Very often infected fish tend to stop feeding. If you observe your fish on a daily basis you should have a good idea of what is normal for them and what is not. Essentially, fish should be alert, inquisitive and interested in their surroundings.


External and internal bacterial infections compared


External lesions on the skin, fins and eyes are particularly characteristic of bacterial infections. Specific symptoms including thickening of the mucous coat on the scales, creating distinctive off-colour or grey patches; cloudy patches over one or both eyes; ulcers; and either red spots or larger patches. In many cases the ulcers are red with a certain amount of bleeding, though this will usually be preceded by a distinctive raised bump before the wound opens up and becomes bloody. In other instances, bleeding may not be evident, depending on the type of bacteria involved.

Internal bacterial infections are commonly known as septicaemia and many different organs/organ systems can be affected. There are several characteristic external signs to look for if this is the case. Fluid may build up at the sites of infection due to the reaction of cells and tissues to toxins and digestive enzymes produced by the bacteria. When this occurs in the body cavity, fish look bloated and the scales may stand out giving the fish a “pine cone” appearance, commonly known as dropsy or, more technically, oedema (edema in American English).

Fluid commonly builds up behind the eye as a result of bacterial infections, sometimes just one eye, sometimes both. This causes the infected eye to protrude, a condition commonly referred to by aquarists as pop-eye or exophthalmia.

Bloating and pop-eye are probably two of the most characteristic symptoms of internal septicaemia. Bloat in particular often indicates that your fish may be infected with a primary rather than opportunistic pathogen, Such infections can be very difficult to treat because the damage to internal organs is frequently irreversible.

Pop-eye on its own, however, can be a misleading symptom because it is often caused by physical damage, such as a bump, rough handling by the aquarist, or aggression between fish. As a general rule, a single pop-eye usually indicates (but not always) physical damage. Two pop-eyes usually indicate a bacterial infection.

Another common sign of internal bacterial infections are lumps or swollen areas on the body. These often represent the formative stages of ulcers and granulomas. Granulomas are a particular type of lesion associated with certain species of bacteria that cause chronic infections, most typically fish tuberculosis, of which more will be said later.

Diagnosing sick fish

In many instances you will see several of these symptoms on the same fish, and generally the more symptoms you observe suggesting a bacterial infection, the more reliable your diagnosis will be. This in turn will mean that the use of anti-bacterial medications can be used with a greater probability of success.

Where signs appear severe and clear cut, it is critical to act quickly to prevent the infection from causing the death of the fish, or the infection from spreading to healthy, uninfected fish.
To get a better idea of what is going on, both live and dead fish can be sampled for bacteria to make a positive diagnosis. Unfortunately, collecting samples from fish requires a high level of expertise and access to specialist laboratory facilities and diagnostic equipment and should not be attempted unless you really know what you are doing.

If you're interested in finding out more about what might have killed your fish, and strongly suspect a bacterial disease, your best course of action is consult a local veterinarian and have them send the fish to a lab for bacteriological sampling. Veterinarians routinely send samples to diagnostic labs for testing and can provide the appropriate interpretation of the lab results.
I would suggest placing any dead fish in a zip lock bag and putting it in the fridge for delivery to the vet as soon as possible. It's very important you chill but do not freeze the fish though, as freezing will damage or kill the bacteria the vet will need to examine to identify the disease correctly! While consulting a local fish vet or pathologist may be expensive, the cost is often justified for high-value fish such as koi, arowanas, rare freshwater and many marine fish, as well as breeding stock. While you can't do much for a dead fish, the information learned from testing the dead fish will go a long way towards protecting other fish in your system.

What types of bacteria infect fish?

Thinking back to high-school biology, you may recall that bacteria are extremely small single-celled organisms that possess a rigid cell wall but lack the organelles such as the nucleus characteristic of the cells of more advanced organisms. Some bacteria are rod-shaped, some spherical or spiral shaped; some exist singly, some in chains or filaments. Some are incapable of deliberate movement, but others have hair-like projections that allow them to move about (in some cases, quite rapidly, given their tiny size).

The classification of bacteria into types and species is very complicated, and is essentially based on biochemical profiles. The coarsest division, and the one best known among non-specialists, is the division of bacteria into two basic types, Gram-positive and Gram-negative. The division is based on what colour the bacteria become when stained using a technique devised by a Danish biologist, Hans Christian Gram. Gram-positive bacteria have a thick outer cell wall and stain blue using the technique, whereas Gram-negative bacteria have a thinner outer wall and stain red.
Opportunistic bacteria, and to a lesser extent primary pathogens, are present in aquarium water and even within the fish themselves to a much higher degree than you may think. By far the most common disease-causing bacteria are a variety of Gram-negative species. Commonly found in aquaria are genera including Pseudomonas, Aeromonas, and Vibrio. Others general typically found, but not as common, included Flavobacterium, Citrobacter, Edwardsiella and Escherichia.

Gram-positive species do infect fish, but they are much less prevalent. The most common Gram-positive genera are species of Mycobacterium and Streptococcus. From the hobbyist’s perspective, much of this may seem academic; however some antibiotics are more effective than others depending on the mode of action and the type of bacteria (Gram-negative or Gram-positive), as we'll see later on. This being the case, in instances where an antibiotic isn’t working, swapping to another antibiotic effective against a different group of bacteria, or with a different mode of action may be useful.

Treatment

In most instances, knowing that you are dealing with a bacterial infection is all you need to know, and questions about precisely what species is involved is largely irrelevant (and without appropriate lab work, quite probably unknowable).

So, the main question is how do you treat bacterial infections? First, it's critical to realize that the presence of a pathogen does not necessarily equal disease. While a pathogen must be present, clinical disease occurs only as a result of an interaction between the pathogen, the host, and the environment (see Figure 1).

This is where stress comes into the discussion, and it plays a very big role indeed. When a pathogen invades a host it does so because it gets past the host's defence mechanisms, the immune system. When fish are stressed the immune system is suppressed, meaning that it is not working to its usual efficiency.

The most common sources of stress includes poor water quality, aggressive tankmates, poor nutrition and, not surprisingly, infectious agents. In fact, the problem is somewhat cyclical as many bacteria secret toxins and enzymes that are immunosuppressive; in other words, the bacteria themselves are able to reduce the efficiency of the fish’s immune system. Often, simply improving water quality, diet and eliminating any sources of stress will enable the host's own defence mechanisms to fight back.

If you suspect that your fish has a bacterial infection and is getting worse, the first thing you should do is review your system. Check water quality, aggressive behaviour from tankmates, whether the diet is optimal and balanced for the species, and all the other good husbandry practices that, if optimized, should help to alleviate the problem.
The second thing you should do is confirm, as best as possible, that you are in fact dealing with a bacterial problem and not something else.

What you shouldn't do is look for a silver bullet. This is because treating a fish with an antimicrobial when you haven't made a reasonable diagnosis and haven't addressed the root cause of the problem is essentially a waste of time and money. In fact, it may even exacerbate the problem by allowing the infection to spread.

Medications

Antimicrobial medications treat a range of microscopic disease-causing organisms including bacteria but also fungi and protozoans. Antibiotics are a particular class of antimicrobial medications that specifically treat bacterial infections.

Historically, the term ‘antibiotic’ was strictly used to describe those chemicals derived from living organisms of various types, penicillin for example being derived from cultures of Penicillium fungi. But in recent years synthetic chemicals like the sulphonamides have also been called antibiotics as well.

Penicillin is an example of a bactericidal (bacteria-killing) antibiotic that acts by disrupting cell wall formation. Sulphonamides are examples of bacteriostatic (bacteria-inhibiting) antimicrobials that prevent growth of bacteria by displacing a chemical required for growth.

Preventing bacteria cells from growing allows the immune system to mop up the inactive cells and clear the infection. Each antibiotic has its particular mode of action, and what is important to know is that many have similar modes of action; antibiotics with similar modes of action can be classed together as particular types of antibiotic (see Table 1). What is sometimes confusing to most is making a distinction between active chemical names and product or "Trade Names". Active chemicals are names given to specific chemicals to properly identify them, much like Latin or the scientific names used for fish. "Trade" or "Brand" names are names given to products to identify them in the market place, much like the many common names used for the same species of fish. Often the same active may be made by (or packaged) by different companies under different trade names.

Some antimicrobials are more effective against specific types of bacteria, so-called selective antimicrobials, while others are effective against a wider range of bacteria, broad-spectrum antimicrobials. Having a general idea of the group an antimicrobial belongs to -- and its corresponding mode of action -- is another important consideration when deciding on which compound to use, especially if a treatment appears to fail and a second treatment needs to be considered. Isonisid is an example of a highly selective antimicrobial. It is only effective against mycobacteria. Penicillin is an example of an antimicrobial that is selective against Gram positive bacteria. Whereas oxytetracycline is selective against a wider range of microbes, both Gram-positive and Gram-negative.

Administering antibiotics

The key to antibiotic therapy is exposing the disease-causing bacteria to the minimum concentration of the antibiotic that will inhibit or kill it. This is otherwise known as the minimum inhibitory concentration, or MIC.

To achieve this, antimicrobials can be administered in three basic ways. The most common is to add the antimicrobial to the water (topical or immersion administration); the second is by adding it to the feed (oral administration); and the third is via injection.

Not surprisingly, when you look at the scientific literature you will see that, as a rule, the most efficient way to administer antibiotics is via injection. Oral administration is the next most effective method, and immersion the least effective.

Unfortunately, most hobbyists do not have the expertise or equipment to administer antibiotics by injection. Oral administration, while a more practical approach, and reasonably efficacious, presents some challenges when trying to calculate dosage. This is because oral administration depends upon providing the right amount of the drug in relation to the size of the fish. This means knowing the weight of the fish, which can be very difficult to estimate if you haven't done it before!

This leaves immersion treatment, and despite the shortcomings of this method, the majority of the antimicrobials sold to aquarists are designed to be used in this way. While immersion treatments are easy to use and the doses generally easy to calculate (via the size of the aquarium rather than the weight of the fish) these treatments are not always effective. This is because fish have to absorb enough medication to achieve the minimum inhibitory concentration before the drug can do its job.

On a personal note, I often wonder about hobbyists who report success after using antimicrobials administered by the immersion method. How much of this effect is due to the medication, and how much is due to addressing many of the husbandry issue that led to the problem in the first place?

Using the immersion method

There are many reports in the literature indicating that immersion treatments can and do work. Among the more common antibiotics reported used via the immersion method include nifurpirinol, oxolinic acid and oxytetracycline.

However, factors such as pH and temperature will greatly influence uptake, which occurs mainly via the gills. Many antimicrobials are negatively affected by relatively high pH levels (as would occur in saltwater and certain freshwater aquariums) and the presence of organic material, or other constituents of your water such as calcium, magnesium and iron (to name a few) that can bind with the active ingredients making them less effective. Uptake is also dependent on the species of fish being treated.

While the minimum inhibitory concentration level can be achieved by immersion, it may be difficult to maintain this level for an adequate length of time. In one study, minimum inhibitory concentration levels were achieved within 1 hour of exposure by immersion, but this had dropped by 70% within 2 hours.

So, to reach and maintain adequate minimum inhibitory concentration in the tissues of the fish, significantly higher concentrations than the estimated minimum inhibitory concentration will need to be added to the water.

The downside to this is that high concentrations of antimicrobial drugs can seriously stress or kill the “good” bacteria in your system, such as those responsible for biological filtration. If this happens, the inevitably spike in ammonia concentration will further stress your already sick fish.
For this reason, it is not advisable to treat fish in your main display tank. Instead, antimicrobial medicines should be used in a separate treatment or quarantine tank, where the option to use chemical filtration (e.g., by using zeolite) is an option if the biological filter crashes.

Using the oral method

The second option for administering antimicrobials is orally by adding them to the feed. Unfortunately one of the main paradoxes of oral treatments is that they only work if fish are eating, and one of the classic signs of bacterial infection is that a fish stops feeding!
A second issue is the relatively lack of available commercially-available pills or pellets that aquarists can buy and use. There are some medicated foods on the market though, and while some fish can be fussy feeders, if such a product is available, it is well worth trying. Making your own medicated foods is an option, but calculating the right doses is very tricky and should only be done following discussion with a fish health veterinarian.

One way to medicate feed is to “top dress” pellets. Antibiotics can be mixed with oil or something similar that will stick to the feed. The coated feed can then be covered in some fine crumbs made from the fish pellets. Alternatively, one can take fresh or frozen ingredients that are normally fed to your fish and mix these in a blender with the specified amount of antibiotic (calculated per gram of feed), mixed with a small amount of gelatine, and then frozen prior to use.

Using the injection method

Administering medications via injection is very effective, but antibiotics suitable for use this way are not normally available to fish hobbyists. Injecting fish with a product purchased off the shelf at your local fish store should not be attempted. The problem here is that medications manufactured to be added to food or water may not have been produced or stored in sufficiently sterile conditions that they are safe to be injected directly into the body of the fish. Furthermore, fish will need to be anaesthetized before they can be safely handled, and if not done correctly and on suitably relaxed fish, injections can cause stress and physical damage to both the fish and aquarist.

On the other hand, sterile preparations are available to veterinarians, who will prescribe and administer these medications in cases where such treatments are warranted, such as with high value broodstock or prize show fish.

Prognosis

Regardless of what action you take, it should always be kept in mind that for many bacterial septicaemias, such as fish mycobacteriosis, or classic dropsy, fish fail to respond, even when very potent antimicrobials have been used and administered via injection.
There are several reasons for this, but the chief among them is that, as stated earlier on, not all species of bacteria are equally susceptible to all antimicrobials. If you happen to use an inappropriate medication for the bacteria involved, the fish may not recover.
The second issue is the difficulty knowing whether or not you've achieved an appropriate minimum inhibitory concentration of the medication, and that you have exposed the bacteria to that level of medication for long enough.

Finally, the bacteria you are targeting may be resistant to the particular antimicrobial being used, even if in theory that antimicrobial should work well.

The big picture

One last issue I would like to raise when considering the use of antimicrobials, is the need to consider your system holistically. That is, if you treat a fish in a separate tank or via the feed, what are the risks that the fish may become re-infected?

If you are dealing with an opportunistic pathogen, such as those that cause finrot, then your main goal should be to treat your fish and restore its normal, healthy state. Chances are you will always have opportunistic pathogens in your system and focussing on the husbandry issues discussed at the beginning of this article will ensure that the natural immunity of your fish will keep them healthy.

If, on the other hand, you are dealing with a primary pathogen, such as some of the Aeromonas, Vibrio or Mycobacterium species, then there is a real risk that the pathogen will remain in your system even after you have successfully treated your fish. Many pathogens can persist for a long time in aquatic environments outside of a fish host. So you might treat the fish successfully in a quarantine tank, but when you put it back in the display tank, it could become re-infected by a primary pathogen species lying dormant in the tank. For this reason, it is sometime necessary to tear down and sterilizing your display tank, so that any such pathogens can be killed off.
Finally, I wish to reiterate that most bacterial infections are to due to opportunistic pathogens. Many problems can be avoided through good husbandry practises: careful choice of healthy, socially compatible fish, proper maintenance, a healthy diet, and so on.

Without a doubt, the three most common husbandry practices that result in the outbreak of bacterial disease are water quality problems; physical damage caused by aggression or rough handling; and the introduction of fish that haven’t been quarantined and introduce some type of pathogen into the display aquarium.

Hopefully, this article has shed some light on the management of bacterial diseases, so that the common mistakes and misunderstandings can be avoided. In turn, this should allow you to make more informed choices when selecting medications and deciding how to use them. Because of the risks involved, such as potential harm to the biological filter, antimicrobials should always be a last resort, and used only when all other options have been rejected after due consideration. Responsible as well as successful management of the health of your fish health depends upon you understanding and using antimicrobial medications correctly and appropriately.

Appendix 1: A gallery of bacterial infections and symptoms

Dwarf gourami (Colisa lalia) with several general signs of bacterial septicemia, these include: fin injection (clamped fins), fin rot, general sluggishness (the fish was just hanging in the water column showing disinterest in it's surroundings and tank mates), somewhat faded color (compared to the other in the tank), and a couple of raised hemorrhagic lesions (large, red bumps). The right image shows the lesion just inside the branchiostegal rays (underneath the lower jaw). Not depicted, there was another raised hemorrhagic lesion on the nape. All the together, the observed disease signs give a strong differential diagnosis for a bacterial infection.



Close up of external hemorrhaging commonly associate with bacterial infections.



Common external signs of hemorrhaging included redness, rashes, bleeding and "petechial hemorrhages" which are discreet small round blood spots. In this case a Rainbow Trout presents petechial hemorrhages On the belly. The lower images shows what is seen on the inside with more petechiae associated with the pyloric caecum and visceral fat (which is part of the gut/digestive system in trout).



Red-cap Oranda (Carassius auratus) with severe hemorrhaging to the dorsal fin. In this case the fish had a dysfunctional swim bladder and was unable to swim below the surface. As a result the dorsal fin was continually exposed to air and drying out, damaging the skin and become infected. As the infection progresses the hemorrhaging gets progressively worse. Such sites of infection become portal for opportunistic bacterial and often lead to more complicated infections affecting internal organs. In cases such as this, without specialized veterinary intervention (which may be to no avail) it is best to humanely euthanize the fish.



Visceral (body) cavity of an Atlantic salmon with severe internal hemorrhaging. Fish that succumb and die to septicemia often show severe bleeding associated with vital organs. Often one can find blood and lots of petechial hemorrhages throughout the visceral cavity depending on the species of bacterial involved.



Pygmy Angel (Centropyge flavicaudus) with bilateral exophthalmia (Pop-eye) - a classic presentation of a systemic bacterial infection.



Angelfish (Pterophyllym scalare) with suspect bloat, or classic dropsy. In the first image, the visceral cavity is greatly extended and somewhat round. This is a classic sign of bloat, commonly known as dropsy, as is caused by fluid build up in the visceral cavity due to the fishes reaction to an bacterial infection and general organ failure. Such infections are very difficult to treat and affected fish such as this which are dying should be immediately removed from the tank and humanly euthanized. An interesting observation is made in the second photo where another angel is inspecting the dying fish and was seed to nip it. Not only does this worsen the condition of the affected fish, but it facilitates spread of the bacteria to the next fish and why sick should be separated and dead fish removed immediately.



Close-up of Chinook Salmon (Oncorhynchus tshawytscha) kidney. The white, cheese curd-like lumps along the midline are granulomas caused by Gram-positive bacteria (in this case Renibacterium salmoninarum). Lesions like these that are observed in the body cavity are a classic diagnostic feature of fish infected by Gram-positive bacteria such as Mycobacterium.



Clown fish (Amphiprion percula) with classic fin rot.  In image H.1 the caudal fin is show signs of necrosis.  Over time, the bacterial have progressed into the caudal peduncle. As the infection progress and gets deeper into the tissues the fish will become harder to treat.  Eventually the bacteria will infect the organs in the body cavity and treatment will most likely be unsuccessful.  In this case the fish were treated with Neomycin by immersion and responded very well.

 


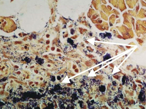
This is what the fish pathologist sees when looking at bacteria in a tissue section under the microscope.  In both cases the bacteria are stained with Gram-stain.  Image I.1 shows small Gram-positive bacteria, which show up as blue dots singly and in clusters.  The bacteria are Renibacterium salmoninarum infecting the kidney of a salmon.  Image 1.2 shows small Gram-negative bacteria, which show up as red dots in a large cluster in the middle of the image.  The bacteria are Aeromonas salmonicida infecting the kidney of a salmon.



“Fish Tuberculosis” or “Fish TB” is a disease is caused by a Gram-positive bacterium, most notably, Mycobacterium marinum. The reason that the disease gets a high profile in magazines and the newspapers is because there have been isolated reports of Mycobacterium marinum infections in people as well as fish, making it a public health concern.

When animal pathogens infect people they are referred to as zoonotic pathogens. The truth about M. marinum is that it is not very common, and the term Fish TB, while popular, is usually inappropriate and used for other types of disease that display broadly similar symptoms.
When Fish TB was first described, fish pathologists observed distinctive lesions populated by Gram-positive bacteria, similar to those seen in mammalian tuberculosis (which are caused by a different species of Mycobacterium, M. tuberculosis).

However, there are now known to be several species of Mycobacterium that infect fish, and not all of them produce tuberculosis-like lesions similar to those seen on mammals. For this reason, rather than calling the disease Fish TB, it is probably best to refer to it as “Fish Mycobacteriosis”.
Scientific studies of ornamental fish with bacterial infections very rarely report Mycobacterium infections; instead, it is other types of pathogenic Gram-negative bacteria that are much more common. Nonetheless, many aquarists continue to use the Fish TB term whenever they see signs of bacterial septicaemia, probably more because of the high profile of Fish TB than anything else.
Fish Mycobacteriosis is usually characterized by ulcers or bloody lesions, wasting, and a general debilitation as the fish becomes weaker and less able to swim properly. However, only expert diagnosis can confirm this, via examination of the fish by a trained fish pathologist or vet.
Mycobacteriosis-type diseases are, as a rule, extremely difficult to treat with antibiotics, Indeed, some would consider them effectively untreatable. In most instances, Fish Mycobacteriosis is usually a chronic rather than acute disease that incubates very slowly in fish, across a period of weeks to many months, though on occasion infections can develop so rapidly that the fish can die without any outward signs of infection.

While some of the bacteria that cause fish mycobacteriosis are zoonotic, that is, able to infect humans as well as fish, it's important to remember that there are many other primary bacterial pathogens that can infect people as well. In fact in most instances of bacterial infections, the bacteria identified are opportunistic rather than primary pathogenic species that are not normally a hazard to humans. Overall, the risk of zoonotic infections from aquarium fish is low.

Having said that, it's always a good idea to rinse your hands before putting them in your tank and then wash them with soap when you are done, especially if you have a cut or break in your skin. This will help protect you and your fish; it’s worth remembering if you have multiple aquaria, wet hands can allow pathogens to be transferred from one tank to the next.

There is also a small risk of picking up an infection if you have an open wound, or if your fish manage to puncture your skin via body spines or fin rays (so-called “stick injuries”). Such infections, though rare, can lead to serious complications. As a result, if you have the misfortune of getting a stick injury, or appear to develop an infection in your finger or hand after working with your fish or aquarium, you should seek medical attention as soon as possible.

Table 1: Major groups of antimicrobial medications classified by mode of action, with examples

Mode of Action

Group

Active Ingredients

Example Products (1)

Inhibition of cell wall synthesis

Antimycobacterials

Isoniazid

Isonex


Beta-lactams

Amoxicillin

Ampicillin

Penicillin 

Aquaticure

Ampicellex

Gel Tek


Cephalosporins

Cephalexin

Aquaticure

Inhibition of nucleic acid synthesis

Diaminopyrimidines

Trimethoprim

Maracyn Plus

Sulfa

TMP Powder


Sulphonomides

Sulfacetamide

Sulfadiazine

Sufadimdine

Sulfamerazine

Sulfamethazine

Sulfathiazole 

Trisulfa

Triple Sulfa

Maracyn Plus, 

Super Sulpha

Sulfathiazole

Jungle Antibacterial Medicated Feed

Aquatronics Betamax

Neosulfex


Nitroimidazoles

Metronidazole

Aquazole

Aquarium Pharmaceuticals General Cure

Seachem Metro+

Jungle Parasite Clear


Quinolones

Naladixic Acid

Oxolinic Acid

Naladin

Inhibition of protein synthesis

Aminoglycosides

Gentamycin

Kanamycin

Neomycin

Kanaplex

Kanacyn

Neoplex 

Neomycin

Gel Tek


Macrolides

Erythromycin

Myacin

Maracyn FW

Gel Tek

Aquarium Pharmaceuticals EM Tablets


Tetracyclines

Minocycline,

Oxytetracycline,

Tetracycline

Maracyn II FW

Maracyn TC

Oxytetracyn

Aquarium Pharmaceuticals TC Capsules

Gel Tek


Mode of activity not well defined

Nitrofurans

Furazolidone

Nifurpirinol

Nitrofurantoin

Nitrofurazone

Furanase

Furan 2

Polyguard

Seachem Focus

Pepso Food

Bionox

BiFuran

(1) Neither the author nor Contentious Aquarist endorses any of the products or manufacturers listed here; examples are used for illustrative purposes only.

Freshwater Infectious (Bacterial, Fungal, Viral) Diseases on WWM

Related Articles: Freshwater Fish Diseases, Freshwater DiseasesFW Disease Troubleshooting, Choose Your Weapon: Freshwater Fish Disease Treatment Options by Neale Monks,

Related FAQs: Infectious FW Diseases 1, Infectious FW Diseases 2, Infectious FW Disease 3, Infectious FW Disease 4, & Finrot, Dropsy/Dropsical Conditions, Aquarium Maintenance, FW Parasitic DiseasesAfrican Cichlid Disease 1, Cichlid DiseaseBetta Disease 1

Marine Infectious Disease (Bacterial, Fungal, Viral) on WWM

Related Articles: Infectious DiseaseUnderstanding Bacterial Disease in Aquarium Fish; With a gallery of bacterial infections, a discussion of “Fish TB”, and a listing of major antimicrobial medications with examples available to fishkeepers By Myron Roth, Ph.D.,

Related FAQs: Infectious Disease 1, Infectious Disease 2, Infectious Disease 3, & FAQs on Infectious Disease: Identification, Causes/Etiology, Cures/Medications, Case Histories: Bacterial, True Fungal & Biological Cleaners, Cryptocaryon

 





 
 
 

Featured Sponsors:
Google
 
Web www.WetWebMedia.com